
谷沢技工所は各先生の好みに合わせてコミュニケーションを大切に製作している総合歯科技工所です。
ここ最近の患者さんのニーズに合わせてシェードテイクにも力を入れております。
自費の技工物ももちろんですが経験豊富な歯科技工士がひとつひとつ心を込めてお作りしています。
先生方と多くお話させて頂き信頼関係を築くことで、より美しく精密な技工物を作る努力をしております。
保険、自費の技工物には一切妥協は致しません。これからも歯科医院様と一緒に発展できるよう努めていきます。
ここ最近の患者さんのニーズに合わせてシェードテイクにも力を入れております。
自費の技工物ももちろんですが経験豊富な歯科技工士がひとつひとつ心を込めてお作りしています。
先生方と多くお話させて頂き信頼関係を築くことで、より美しく精密な技工物を作る努力をしております。
保険、自費の技工物には一切妥協は致しません。これからも歯科医院様と一緒に発展できるよう努めていきます。
ごあいさつ
ごあいさつ
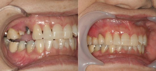
谷沢技工所は各先生の好みに合わせてコミュニケーションを大切に製作している総合歯科技工所です。ここ最近の患者さんのニーズに合わせてシェードテイクにも力を入れております。自費の技工物ももちろんですが経験豊富な歯科技工士がひとつひとつ心を込めてお作りしています。先生方と多くお話させて頂き信頼関係を築くことで、より美しく精密な技工物を作る努力をしております。保険、自費の技工物には一切妥協は致しません。これからも歯科医院様と一緒に発展できるよう努めていきます。




